Skip to content Skip to sidebar Skip to footer

Can You Put Braces On Baby Teeth

Should My Child Get Braces Before All The Baby Teeth Have Fallen Out

Should My Child Get Braces Before All The Baby Teeth Have Fallen Out

Can you put braces on baby teeth. You need solid anchoring to move teeth. Not a good thing Brooke since most parents have their grown up children pay the second time around. Can you get braces if you still have some baby teeth US.

For some patients who have severe crowding leaving little room for permanent teeth to erupt close to their ideal locations we may recommend braces while there are still some baby teeth present. It is recommended to have all baby teeth out however in some ca. Just like any other alignment issues braces can be used to move one or two crooked teeth.

Phase 1 occurs when there is a mixture of baby and permanent teeth and can be recommended for patients with for example a severe overjet what lay people call an overbite or a crossbite anterior or posterior. In other words phase one of braces allows for the correct amount of space in the mouth for the incoming adult teeth so that when they do come in they have room to be in the proper position. There are a lot of situations when the baby teeth will have to be removed in order to accommodate the braces.

Yes you can still have baby teeth with braces. How To Know If Your Child Needs Braces At An Early Age. Typically your child will not get braces until all of their baby teeth fall out and most of their permanent teeth come in.

Prolonged retention of baby teeth also may lead to irregular arrangment of your teeth. As more baby teeth fall out holes are cut in the retainer to allow for the permanent teeth. This video will show you how we put your braces on.

In many cases the braces will be removed and the child will be given a clear plastic retainer. The braces can be a full set or partial braces where the brackets and wires would only be in the area needing treatment. You may have heard of a relatively new orthodontic technique that involves putting braces on baby teeth.

An orthodontist may put braces on when a patient still has baby teeth and then once taken off will wait for the adult teeth to come through and determine if. An orthodontist should see a child experiencing these indications.

Can Your Child Get Braces Before The Baby Teeth Fall Out

Can Your Child Get Braces Before The Baby Teeth Fall Out

Do All Your Baby Teeth Need To Fall Out Before You Get Braces Wees Low Orthodontics

Do All Your Baby Teeth Need To Fall Out Before You Get Braces Wees Low Orthodontics

Should My Child Get Braces On Their Baby Teeth Shirck Orthodontics Blog

Should My Child Get Braces On Their Baby Teeth Shirck Orthodontics Blog

Can My Child Get Braces With Baby Teeth Laurent Orthodontics

Can My Child Get Braces With Baby Teeth Laurent Orthodontics

When Should Children Get Braces Marriott And Hand Airport West

When Should Children Get Braces Marriott And Hand Airport West

Do All Of My Baby Teeth Have To Fall Out Before I Get Braces

Do All Of My Baby Teeth Have To Fall Out Before I Get Braces

Baby Braces 7 Key Signs Your Child Needs Braces

Baby Braces 7 Key Signs Your Child Needs Braces

Braces And Baby Teeth Philadelphia Pa

Braces And Baby Teeth Philadelphia Pa

Baby Teeth And Braces Why Early Treatment May Be Necessary

Baby Teeth And Braces Why Early Treatment May Be Necessary

Can You Wear Braces With Baby Teeth The Stylus

Can You Wear Braces With Baby Teeth The Stylus

How To Tell When Your Kid Needs Braces

How To Tell When Your Kid Needs Braces

Can I Get Braces If I Have Missing Teeth Or Crowns And Bridges

Can I Get Braces If I Have Missing Teeth Or Crowns And Bridges

It S Generally Not Harmful For Children To Wiggle Loose Baby Teeth My Kids Dentist

It S Generally Not Harmful For Children To Wiggle Loose Baby Teeth My Kids Dentist

Phase 1 Braces What It Means For Your Child Prosmiles Orthodontics

Phase 1 Braces What It Means For Your Child Prosmiles Orthodontics

When Is It Necessary To Extract Baby Teeth Carlyle Orthodontics

When Is It Necessary To Extract Baby Teeth Carlyle Orthodontics

How Young Is Too Young A Guide To What Age Is Ideal To Start Braces Topanga Dental

How Young Is Too Young A Guide To What Age Is Ideal To Start Braces Topanga Dental

Heath Phase 1 Orthodontics Braces Spacers

Heath Phase 1 Orthodontics Braces Spacers

What Age Should You Get Braces Sing Orthodontics

What Age Should You Get Braces Sing Orthodontics

Do I Need Braces How To Tell When Adults Or Children Need Them

Do I Need Braces How To Tell When Adults Or Children Need Them

Early Treatment Interceptive Treatment Meyer Orthodontics Woburn Ma

Early Treatment Interceptive Treatment Meyer Orthodontics Woburn Ma

Can A Child Wear Braces With Baby Teeth Yes But

Can A Child Wear Braces With Baby Teeth Yes But

What Is The Right Age For A Child To Get Braces Dental Solutions Bangalore

What Is The Right Age For A Child To Get Braces Dental Solutions Bangalore

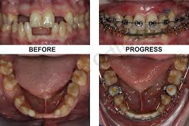
Smile Gallery Marysville Orthodontics Braces Invisalign Arlington Lake Stevens

Smile Gallery Marysville Orthodontics Braces Invisalign Arlington Lake Stevens

1

1

When Are Extractions Necessary With Overcrowded Teeth

When Are Extractions Necessary With Overcrowded Teeth

Can You Get Orthodontics If You Have Missing Teeth Shirck Orthodontics Blog

Can You Get Orthodontics If You Have Missing Teeth Shirck Orthodontics Blog

Can My Child Get Braces With Baby Teeth Lewisville Tx

Can My Child Get Braces With Baby Teeth Lewisville Tx

Planning For Braces With An Orthodontist Monmouth Junction

Planning For Braces With An Orthodontist Monmouth Junction

What Is The Best Age To Get Braces Bennion Lambourne Orthodontics

What Is The Best Age To Get Braces Bennion Lambourne Orthodontics

Coronavirus Dentists Face Tough Decisions On Returning To Work

Coronavirus Dentists Face Tough Decisions On Returning To Work

Wearing Braces How Long Do Braces Take To Work

Wearing Braces How Long Do Braces Take To Work

Crooked Baby Teeth Cause A Problem Later In Childhood

Crooked Baby Teeth Cause A Problem Later In Childhood

Can You Get Braces With Baby Teeth In Sawyer Creek Orthodontics

Can You Get Braces With Baby Teeth In Sawyer Creek Orthodontics

Why Braces Become Loose And How To Fix Them Brite Orthodontics

Why Braces Become Loose And How To Fix Them Brite Orthodontics

Should You Pull Baby Teeth For Braces Or Invisalign Youtube

Should You Pull Baby Teeth For Braces Or Invisalign Youtube

Phase 1 Braces What It Means For Your Child Prosmiles Orthodontics

Phase 1 Braces What It Means For Your Child Prosmiles Orthodontics

When Should Kids Get Braces How To Tell When It S Time For Braces

When Should Kids Get Braces How To Tell When It S Time For Braces

Braces And Implant Treatment Used To Replace A Left Over Baby Tooth Poudre Valley Family Dental

Braces And Implant Treatment Used To Replace A Left Over Baby Tooth Poudre Valley Family Dental

At What Age Do Kids Get Braces When Can You Get Braces

At What Age Do Kids Get Braces When Can You Get Braces

Braces For Young Kids Might Not Always Be Best Npr

Braces For Young Kids Might Not Always Be Best Npr

Braces On Baby Teeth Yes It S A Thing Santee Pediatric Dentistry Orthodontics

Braces On Baby Teeth Yes It S A Thing Santee Pediatric Dentistry Orthodontics

Dental Questions Why Do We Put Braces On Baby Teeth Orthodontics Dental Braces Cosmetic Dentistry Veneers

Dental Questions Why Do We Put Braces On Baby Teeth Orthodontics Dental Braces Cosmetic Dentistry Veneers

Braces And Missing Teeth Orthodontic Associates

Braces And Missing Teeth Orthodontic Associates

When Should Kids Get Braces Frisco Kid S Dentistry

When Should Kids Get Braces Frisco Kid S Dentistry

Orthodontic Problems To Watch For In Children

Orthodontic Problems To Watch For In Children

How Do I Know If My Child Needs Braces Smile Little Smiles And Smile Orthodontics

How Do I Know If My Child Needs Braces Smile Little Smiles And Smile Orthodontics

Is There A Problem With Removing Teeth For Braces Wexler Blog

Is There A Problem With Removing Teeth For Braces Wexler Blog

Losing Baby Teeth 101 Jonathan Shouhed Dds Orthodontist

Losing Baby Teeth 101 Jonathan Shouhed Dds Orthodontist

3

3

An orthodontist should see a child experiencing these indications.

You need solid anchoring to move teeth. It may even be advisable to have baby teeth extracted in order to apply braces depending on the case. It is recommended to have all baby teeth out however in some ca. You need solid anchoring to move teeth. The quick answer is yes you should be able to get braces with baby teeth but this really depends on your teeth condition. About Press Copyright Contact us Creators Advertise Developers Terms Privacy Policy Safety How YouTube works Test new features Press Copyright Contact us Creators. The braces may actually work to help that baby tooth become loose and fall out on its own freeing us up to ensure permanent teeth have the proper space to erupt. On the contrary this routine known as interceptive orth. The braces can be a full set or partial braces where the brackets and wires would only be in the area needing treatment.


You need solid anchoring to move teeth. On the contrary this routine known as interceptive orth. Parents can watch for clues or early indications that a child may need braces or if theyre ready for braces. About Press Copyright Contact us Creators Advertise Developers Terms Privacy Policy Safety How YouTube works Test new features Press Copyright Contact us Creators. Your teeth may be sore for a few days after the braces are on. This treatment probably sounds absurd- trying to create a perfect and straight smile only to have the teeth fall out within a few years. In other words phase one of braces allows for the correct amount of space in the mouth for the incoming adult teeth so that when they do come in they have room to be in the proper position.

Post a Comment for "Can You Put Braces On Baby Teeth"